壁紙スタイル

Photo Gallery Of Pathogenic Bacterial

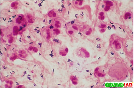
Listeria Monocytogenes Microbiology Medbullets Step 1

Listeria Microscopy Listeria Gram Stain And Cell Morphology

Photo100 6

A Case Of Meningoencephalitis Caused By Listeria Monocytogenes In

Corynebacterium Spp Listeria Monocytogenes Practical Medical Micr

Listeria Monocytogenes Bacteria Appearance Dangerous Infections

Microbiology Case Study 6 Year Old Male With Meningitis Lablogatory

The Microscopic Examination Of Cerebrospinal Fluid Reveals Gram

Case 100

Diphtheria Prac Microbiology

Listeria Spp Cow

Gram Stain Gram Stain Procedure Labpedia Net

Conference 03 2018 Case 2 20180905

Listeria Monocytogenes

Listeria Monocytogenes Bacteria Appearance Dangerous Infections

Pin On Microbiology

Listeria Monocytogenes Properties Pathogenesis And Lab

Https Encrypted Tbn0 Gstatic Com Images Q Tbn 3aand9gcqrujfz8ilgp8ao3il5qjcv6 Oyv6jwiifhzelw3rrifjjhaf1k Usqp Cau

Https Academic Oup Com Labmed Article Pdf 32 7 368 24958217 Labmed32 0368 Pdf

Nervous Form Of Listeriosis In Buffaloes

Listeria Monocytogenes

Outbreak Of Listeria Monocytogenes In An Urban Poultry Flock Bmc

Https Encrypted Tbn0 Gstatic Com Images Q Tbn 3aand9gctwf8gl0qmbqv Iqxini3r T Vkgpgee I8eg Usqp Cau

Conference 03 2018 Case 2 20180905

Https Encrypted Tbn0 Gstatic Com Images Q Tbn 3aand9gcsoaks90joz2nmplsdbu54qhks8i Vu09tyogrp Wyb3grqnw3a Usqp Cau

Microbiology Case Study An 88 Year Old Male With Headache

Listeria A Survivor Sigma Aldrich

Staining Technology And Bright Field Microscope Use Springerlink

Http Docs Neu Edu Tr Staff Emrah Ruh Corynebacterium 20listeria 20erysipelothrix 20phase 20iii 202015 3 Pdf

Listeria Monocytogenes Colonies On Blood Agar

Listeria Monocytogenes Bacteria Appearance Dangerous Infections

Gram Stains Update 2017

Gram Stain Wikipedia

Ppt Listeria Powerpoint Presentation Free Download Id 4585422

Listeria An Overview Sciencedirect Topics

New Page 1

Listeria Monocytogenes Gram Stain As Seen In A Light Microscope

Photo Gallery Of Pathogenic Bacterial

Listeria Images Partners Infectious Disease Images Emicrobes

Listeria Monocytogenes Microdok Microbiology

Microbiology Case Study An 8 Week Old Female With Pallor

Typical Gram Stains Gram Positive Bacteria

Listeria Microorganism Letters Vector Illustration Gram Stock

Conference 03 2018 Case 2 20180905

Https Www Sciencedirect Com Science Article Pii S2211601x15000504 Pdf Md5 4befc19dfb8dcf787edba0221ead248c Pid 1 S2 0 S2211601x15000504 Main Pdf

Cureus Multiple Listeria Abscesses In An Immunocompetent Patient

Gram Staining Of The Cerebrospinal Fluid Showing Gram Positive

Gram Staining Rules

Microscopic Examination Of Listeria Monocytogenes With Gram Stain

Gram Staining Principle Procedure Interpretation Examples And

Https Www Wiv Isp Be Qml Activities External Quality Rapports Atlas Bacteriology Gram Positive Aerobic And Facultative Rods Pdf

Gram Positive Vs Gram Negative Technology Networks

Gram Stain Of A Blood Culture Indicates The Presence Of Gram

Listeria Images Partners Infectious Disease Images Emicrobes

Bacteria 101 Cell Walls Gram Staining Common Pathogens Tusom

Lab 4 Coryne Mycobacterium

Q4mopvoophd Pm

Microbiology Atlas Of Direct Examination In Gram Positive

Http Hardydiagnostics Com Wp Content Uploads 2016 05 Hemolytic Organism Pdf

Lab 3

Listeria A Survivor Sigma Aldrich

Mikrobiologi Untuk Tehnisi Kesehatan Listeria Dan Listeriosis

Listerial Meningitis A Diagnostic Dilemma Jain S Otta S Swain B

Microscopic Examination Of Listeria Monocytogenes With Gram Stain

Case 100

Microbiology Case Study An 8 Week Old Female With Pallor

Https Encrypted Tbn0 Gstatic Com Images Q Tbn 3aand9gcsoaks90joz2nmplsdbu54qhks8i Vu09tyogrp Wyb3grqnw3a Usqp Cau

Gram Stain W A Few Potential Bacteria Seen Not Shown

Gram Staining Of Listeria Monocytogenes Ptcc 1297 Download

Https Encrypted Tbn0 Gstatic Com Images Q Tbn 3aand9gcstwbkgrtyspephz6 Dgjd7d R2svd66rd Pidzmt4fedgcrphw Usqp Cau

Microscopic Examination Of Listeria Monocytogenes With Gram Stain

Ppt Case Study Listeria Monocytogenes 2009 Powerpoint

Listeria Species Veterian Key

Nexus Academic Publishers Nap

The Portnoy Lab University Of California Berkeley

Asmscience Examination Of Gram Stains Of Spinal Fluid Bacterial

Lab 4 Coryne

Gram Stain Csf 5a With Answer

What S The Cause Of Meningitis In 5 Month Old Girl American

Https Academic Oup Com Labmed Article Pdf 32 7 368 24958217 Labmed32 0368 Pdf

Micro L104 Copy Corynebacterium Listeria Gardnerella Flashcards

Listeria Monocytogenes Wikipedia

Ppt Coryneform Bacteria Listeria And Erysipelothrix Powerpoint

Listeria Monocytogenes Microbiology Study Microbiology Medical

Listeria Ivanovii

Listeria

Lab 4 Coryne Mycobacterium

Nervous Form Of Listeriosis In Buffaloes

Microbiology Atlas Of Direct Examination In Gram Positive

Basmah Almaarik Lab 7 Listeria Monocytogenes Is The Only

Listeria Monocytogenes

733 Usual Cell Count In Bacterial Meningitis Viral Meningitis

B550 1 Listeria Monocytogenes Gram Stain From Bhi Broth A Flickr

Listeria

Listeria Monocytogenes Stepwards

Susceptibility Of Listeria Monocytogenes To Antibiotics

Gram Stains

Listeria Monocytogenes Cell Morphology Gram Stain And Cell

Gram Stain Gram Stain Procedure Labpedia Net

186 Gram Stain High Res Illustrations Getty Images

Listeria Monocytogenes Gram Positive Bacteria Pathogen Profile

Micro Exam 2 Flashcards Quizlet

Corynebacterium Listeria Erysipelothrix Bacillus